Prävention bei Senioren und Hochbetagten: Was ist zu beachten?
Cornelia Frese
Prävention bei Senioren und Hochbetagten: Was ist zu beachten?
Quintessenz für das Praxisteam
Durch die steigende Zahl älterer und hochbetagter Menschen in unserer Bevölkerung kann davon ausgegangen werden, dass nahezu alle Praxen geriatrische Patientinnen und Patienten versorgen. Auch im hohen Alter ist der Verbleib eigener natürlicher Zähne heute gegeben und immer mehr ältere und hochbetagte Patienten erfüllen zukünftig das WHO-Ziel des „erfolgreichen oralen Alterns“. Ein wichtiger Bestandteil für erfolgreiches orales Altern liegt in der präventiven Betreuung der geriatrischen Patienten. Falls Unterstützungsbedarf besteht, ist es ebenso von Belang, die Hilfsperson in der Durchführung der Mundpflege und der häuslichen Anwendung von geeigneten Präparaten (z. B. Fluoride) zu unterweisen. Ziel dieses Beitrages ist es daher, einen umfassenden Überblick zu präventiven Interventionen in dieser vulnerablen Gruppe zu geben.
Einleitung
Der demografische Wandel in den Industrienationen führt zu einer zunehmenden Zahl älterer Erwachsener, insbesondere der Anteil der Hundertjährigen und Hochbetagten wächst rasant. Da sie in der Regel keine schweren und lebensbedrohlichen Krankheiten haben, stellt diese Personengruppe das beste Modell für erfolgreiches Altern und Langlebigkeit dar (1, 2). Umfangreiche klinische und grundlagenwissenschaftliche Studien über Menschen, die langlebig sind, wurden bisher nur in Bereichen der Humanmedizin durchgeführt. Klinische und mikrobiologische Daten für die Zahnmedizin gibt es erst seit wenigen Jahren (3). Langlebigkeit ist zum einen auf die stetig steigende Lebenserwartung generell zurückzuführen, da eine bessere Gesundheitsversorgung und Hygiene zu einem längeren Leben geführt haben (4). Hinzu kommen positive genetische sowie epigenetische Faktoren. Allerdings hat die deutliche Zunahme der Alterung in der Gesellschaft gleichermaßen zum Anstieg der altersbedingten Morbidität geführt, was sich ebenfalls auf die Lebensqualität der älteren und hochbetagten Menschen auswirken kann (5).
Gemäß Definition der Weltgesundheitsorganisation (WHO) ist erfolgreiches orales Altern gegeben, wenn im Alter von 80 Jahren noch mehr als 20 eigene Zähne vorhanden sind, suffiziente Okklusionsverhältnisse bestehen und ein weitgehender Verzicht auf herausnehmbare prothetische Versorgungen möglich ist (6, 7). Die ersten epidemiologischen Daten zu Hochbetagten aus Deutschland haben gezeigt, dass die Anzahl der verbleibenden eigenen Zähne im Mittel 9,5 ± 7,1 betrug (8). Diese Werte liegen deutlich unter der Prävalenz von totaler Zahnlosigkeit bei älteren Senioren mit Pflegebedarf, welche in der Deutschen Mundgesundheitsstudie V (DMS V) 2014 untersucht wurden (9). Pflegebedürftige Menschen hatten deutlich weniger Zähne als Teilnehmerinnen und Teilnehmer, die noch in der Lage waren, ihre Mundhygiene selbstständig durchzuführen. Generell war zu sehen, dass bei der hochbetagten Population im Seitenzahnbereich mehr Zähne fehlten als im Frontzahnbereich und im Oberkiefer mehr als im Unterkiefer. Hinsichtlich des Ziels der Weltgesundheitsorganisation, bei älteren Erwachsenen mindestens 20 Zähne oder mehr zu erhalten (6, 7), konnte bis heute für die deutsche Kohorte Hochbetagter lediglich bei 9,1 % ein erfolgreiches orales Altern festgestellt werden (8).
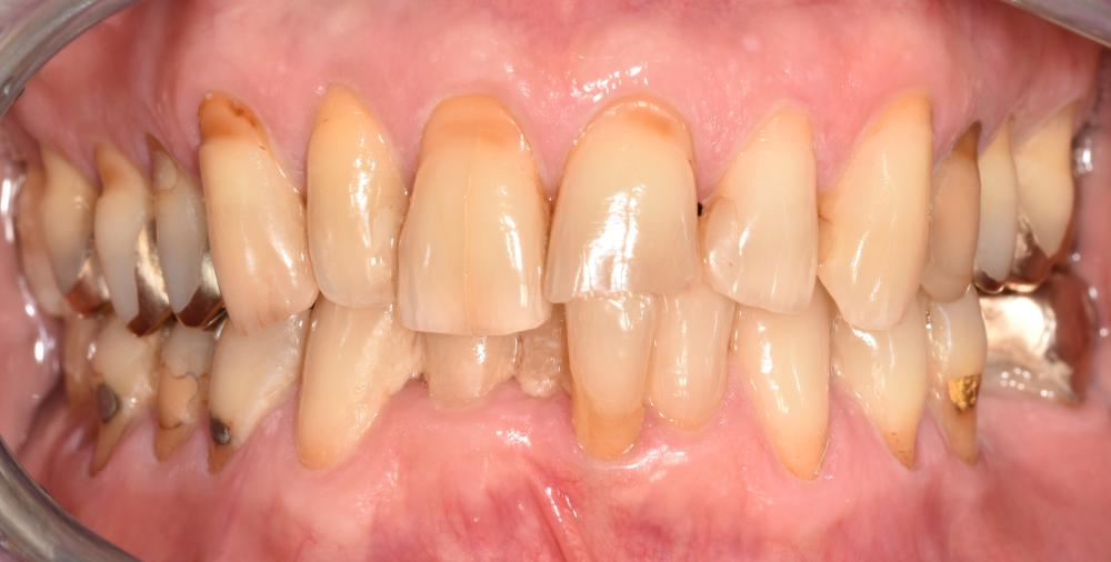
Klinisches Beispiel (Abb. 1a-f)
Pflegegrade
Es gibt fünf Pflegegrade, von Pflegegrad 1 für geringe Beeinträchtigungen bis Pflegegrad 5 für Menschen mit schwersten Beeinträchtigungen der Selbstständigkeit/Fähigkeiten. Die Zuordnung eines Pflegegrads erfolgt im Rahmen einer Begutachtung des Medizinischen Dienstes (MD) mit Hilfe eines speziellen Begutachtungsinstruments. Es wird überprüft, wie sich die Mobilität, die geistigen und körperlichen Fähigkeiten (z. B. Kommunikation, Orientierung), Verhaltensweisen, die Selbstversorgung und die Gestaltung des Alltagslebens darstellen. Durch ein Punktevergabesystem werden alle oben genannten Faktoren erfasst und der Mensch wird in einen der fünf Pflegegrade eingestuft (Abb. 2). Falls nicht ohnehin vorgesehen, sollten die Pflegegrade im Anamnesebogen der Praxis abgefragt werden, da zahlreiche spezielle präventive Leistungen für diese vulnerablen Patienten abrechenbar sind (s. unten).
Lernen und Handeln auf Vorrat
Pflege findet zwar in Einrichtungen statt, aber der größte Teil der Senioren und Hochbetagten lebt lange Zeit funktionell unabhängig zu Hause und wird später auch dort gepflegt. Bereits wenn diese Patienten noch in der Lage sind, regelmäßig eine Zahnarztpraxis aufzusuchen, sollten präventive Interventionen zielgenau eingesetzt werden, damit ein möglichst guter Zustand oraler Gesundheit etabliert werden kann. Um unerwünschte Effekte und Über- oder Unterforderungen bei alternden Patienten zu vermeiden, ist es zur Etablierung einer effektiven Prävention oraler Erkrankungen hilfreich, die Empfehlungen zur häuslichen Mundhygiene an die Belastbarkeit des Patienten anzupassen (10). Bei „fitten“ Senioren und Hochbetagten können individualprophylaktische Maßnahmen jeglicher Art empfohlen werden, wohingegen eine reduzierte zahnmedizinische Belastbarkeit individuelle Anpassungen und Modifikationen erforderlich macht. Daher gilt es, bei „fitten“ Senioren alle Möglichkeiten der mechanischen und chemischen Plaquekontrolle (Tab. 1) nach dem Prinzip „Handeln und Lernen auf Vorrat“ in vollem Umfang auszuschöpfen (1). Damit könnten stabile und gesunde orale Verhältnisse bis ins hohe Alter gehalten werden und stufenweise Anpassungen erfolgen, wenn die sensomotorischen und kognitiven Fähigkeiten der hochbetagten Menschen abnehmen.
Mechanisch-chemische Plaquekontrolle
Präventive Interventionen beinhalten in ihrer Gesamtheit physikalisch-mechanische, chemisch-pharmakologische und biologisch-diätetische Maßnahmen, die individuell auf die psychosozialen Gegebenheiten und Bedürfnisse der Patienten angepasst werden sollten. Auch bei Senioren und Hochbetagten gilt es, die aktuellen Leitlinien und Handlungsempfehlungen für die Biofilmkontrolle und Kariesprophylaxe zu beachten: Zur Biofilmkontrolle sollen Patienten mindestens zweimal täglich mit einer fluoridhaltigen Zahnpasta ihre Zähne putzen. Dabei können je nach Patient unterschiedliche manuelle oder elektrische Zahnbürsten zum Einsatz kommen (11). Ebenso soll fluoridhaltige Zahnpasta mit einer Fluoridkonzentration von mindestens 1.450-1.500 ppm F- verwendet werden. Hochbetagte Patientinnen und Patienten, die zu den vulnerablen Gruppen gehören, haben oftmals ein hohes Karies- und insbesondere Wurzelkariesrisiko (s. Abb. 1). Wurzelkaries schreitet sehr schnell voran und ein zügiges präventives Eingreifen ist von Nöten, um den erkrankten Zahn langfristig zu erhalten. Hier bietet es sich an, auf spezielle Präparate mit hochkonzentrierten Wirkstoffen zurückzugreifen. Empfehlenswert ist zunächst die häusliche Anwendung einer hochkonzentrierten Zahnpasta mit 5.000 ppm F- (Duraphat® Zahnpasta), die rezeptpflichtig ist und dem Patienten ein- bis zweimal pro Jahr von der Zahnärztin oder dem Zahnarzt verordnet werden kann. Es hat sich jedoch gezeigt, dass die Aufrechterhaltung präventiver Interventionen (regelmäßiges Recall, hochfluoridierte Zahnpasta) insbesondere bei Menschen mit schwerer Demenz deutlich limitiert ist (12). Eine umfassende Metaanalyse konnte zeigen, dass 5%iger NaF-Lack am wirksamsten zur Verhinderung oder Remineralisierung nicht kavitierter kariöser Läsionen an bukkalen und lingualen Flächen war (13). Daher sollte bei hohem (Wurzel-)Kariesrisiko eine regelmäßige Applikation von hochkonzentriertem Fluoridlack (22.500 ppm) erfolgen. Das Auftragen von Chlorhexidin-Lack auf die Wurzelkariesläsionen hat sich bei Patienten, die nicht mobil sind und keine Zahnarztpraxis mehr aufsuchen können, als wirksam erwiesen und könnte bei pflegebedürftigen und bettlägerigen Patienten ebenfalls Anwendung finden (14).
Interdentalraumreinigung
Zur Reinigung der Zahnzwischenräume sind bei Unterstützungsbedarf Interdentalbürsten häufig besser geeignet als Zahnseide. Zu beachten ist, dass derzeit kein wissenschaftlich eindeutig begründeter Konsens zu Größe, Form, Bürstenanordnung oder nötiger inserierender Kraft von Interdentalraumbürsten besteht (15). Eine korrekt angepasste Interdentalraumbürste sollte den kompletten Interdentalraum ausfüllen und mit „mittlerem“ Druck ein- und auszuführen sein. Bei zu kleiner Größe ist die Reinigungswirkung zu gering. Ist die Interdentalraumbürste hingegen zu dick, bestehen Traumatisierungsgefahr der interdentalen Gingiva und Verletzung der Zahnhartsubstanz durch den Drahtkern (16). Bei hochbetagten Patienten liegen größere Interdentalräume und Nischen an Implantaten oder festsitzendem Zahnersatz vor, die mit Hilfe von Interdentalraumbürsten effizient und einfacher zu reinigen sind. Auch die Prävalenz parodontaler Erkrankungen ist hoch, dadurch liegen viele Wurzeloberflächen und Wurzeleinziehungen frei, die ein Risiko für Wurzelkaries darstellen. Generell sollten möglichst große Interdentalraumbürsten mit langen Filamenten ausgewählt werden. Bei unterschiedlich großen Interdentalräumen bieten sich außer zylindrischen auch konische Formen von Interdentalraumbürsten an, die von bukkal und oral im Zahnzwischenraum verwendet werden. Bei eingeschränkten manuellen Fähigkeiten können die dünnen Griffe der Halter beispielsweise mit knetbarem Abformmaterial aus Silikon modifiziert werden (Abb. 3).
In der Langzeitbeobachtung der Populationen großer epidemiologischer Kohortenstudien führte die Nutzung von elektrischen Zahnbürsten als auch die von Interdentalraumbürsten langfristig zu einer höheren Anzahl kariesfreier gesunder Zahnflächen und Zähne sowohl bei Erwachsenen als auch bei älteren Menschen (17).
Antiseptika
Antiseptika (Mundspüllösungen, Gele, Lacke etc.) können bei hochbetagten Patienten zur Infektionsprophylaxe als Ergänzung zu systemischen Therapien, nebenwirkungsbedingt ggf. in zeitlich begrenztem Rahmen, eingesetzt werden (18). Jedoch nur dann, wenn das korrekte Spülen und Ausspucken möglich ist, ansonsten besteht Aspirationsgefahr. In solchen Fällen kann die Mundhöhle der Patientin/des Patienten mit einem getränkten Gazetupfer ausgewischt werden. Die Verwendung von Chlorhexidin kann die orale Kolonisierung verringern und bei geriatrischen Patienten vorteilhaft in der Prävention von Aspirationspneumonien oder beatmungsassoziierten Pneumonien sein, die mit oralen Pathogenen assoziiert sein können (19, 20).
Silberdiaminfluorid
Silberdiaminfluorid (SDF) kann 1- bis 2-mal jährlich aufgetragen werden und ist in Deutschland bisher lediglich zur Behandlung von überempfindlichen Zahnhälsen zugelassen. Bei der Behandlung von Wurzelkaries oder Sekundärkaries an Restaurationsrändern (Teilkronen, Kronen, Brücken etc.) liegt ein sog. „off-label“ use vor und der Patient oder der Betreuer muss im Vorfeld darüber aufgeklärt werden. Unbedingt erwähnt werden sollte außerdem, dass die kariösen Läsionen nach Applikation von SDF eine schwarze Verfärbung annehmen, die nicht mehr entfernt werden kann. Bei Verwendung im sichtbaren Bereich sollte insbesondere dieser Punkt ausführlich besprochen und abgewogen werden. In speziellen Fällen kann die Applikation von SDF das schnelle Voranschreiten der Karies, Zahnverlust und somit möglicherweise auch zahnmedizinische Notfälle hinauszögern. Eine Metaanalyse konnte zeigen, dass 38%ige Silberdiaminfluoridlösung bei halbjährlicher Anwendung am wirksamsten zur Verhinderung fortgeschrittener kavitierter kariöser Läsionen auf allen koronalen Oberflächen beitrug (13). Weitere systematische Übersichtsarbeiten belegen die Wirksamkeit von SDF bei der Prävention und Verhinderung von Wurzelkaries, der Remineralisierung tiefer okklusaler Läsionen und der Behandlung von hypersensiblem Dentin (21, 22).
Ernährung und mundgesundheitsbezogene Lebensqualität
Mangelernährung im Alter ist meist unzureichend beachtet und von erheblicher prognostischer Bedeutung. Potentielle Ursachen bei älteren und hochbetagten Patienten sind Kau- und Schluckprobleme, sensomotorische Einschränkungen der oberen Extremitäten, geistige Beeinträchtigungen, Depression und/oder soziale Isolation. Insbesondere in Heimen und Kliniken ist Mangelernährung ein häufiges Problem. Einhergehende Risiken der Mangelernährung im Alter sind beispielsweise körperliche Schwäche, Immobilität, Stürze und Wundheilungsstörungen. Aus zahnmedizinischer Sicht steigt das Risiko für orale Erkrankungen, Mundschleimhauterkrankungen und Wundheilungsstörungen an. Mundpflege und zahnärztliche Interventionen können maßgeblich dazu beitragen, die Mundgesundheit und Kaufunktion bestmöglich zu erhalten. Wurzelkaries, Gingivitis, parodontale Erkrankungen, Zahnverluste und herausnehmbare Prothesen, die repariert oder ersetzt werden müssen, sind bei älteren und hochbetagten Menschen sehr häufig anzutreffen. Diese Faktoren beeinflussen außerdem die mundgesundheitsbezogene Lebensqualität negativ, was vermutlich auf die beeinträchtigte Kaufunktion und Probleme bei der Nahrungsaufnahme zurückzuführen ist. Eigene Studien haben gezeigt, dass das Alter bei sehr hochbetagten Menschen einen Einfluss auf die Kaufunktion hat und bei zunehmender Zahl der fehlenden Zähne die mundgesundheitsbezogene Lebensqualität abnimmt (23, 24).
Abrechnung spezieller Präventionsleistungen
Als großer Fortschritt in der Prävention sind die zum Juli 2018 in die BEMA-Gebührenordnung eingeführten präventiven Leistungen für Pflegebedürftige und Menschen mit Behinderung zu sehen. Diese neuen Leistungen (§ 22a Sozialgesetzbuch Abschnitt V – SGB V) können bei Patienten mit zugeordnetem Pflegegrad und für Menschen, die Eingliederungshilfe beziehen, angesetzt werden. Die Leistung kann sowohl in der Zahnarztpraxis als auch bei der aufsuchenden Betreuung zu Hause oder im Pflegeheim einmal pro Kalenderhalbjahr abgerechnet werden. Im Zentrum dieser präventiven Leistungen stehen die Erhebung eines Mundhygienestatus, die Erstellung und Anpassung eines individuellen Mundhygieneplans (Abb. 4), die Aufklärung zur Mundgesundheit sowie die Entfernung von Zahnstein (25).
Sofern der Patient Unterstützung durch eine Pflegekraft oder einen Angehörigen bedarf, sind diese Personen im jeweils erforderlichen Umfang im Rahmen der Mundhygienesitzung einzubeziehen. Im Idealfall ist die Pflegeperson bei den Prophylaxe-Sitzungen anwesend. So können der Pflegeperson unter anderem auch praktische Tipps und Tricks zum Zähneputzen, zur Interdentalraumreinigung und Prothesenreinigung mitgegeben werden. Wird der pflegebedürftige Patient in einer Einrichtung versorgt, können mit Hilfe des Vordrucks gemäß § 8 der Richtlinie des Gemeinsamen Bundesausschusses nach § 22a SGB V zahnärztliche Instruktionen übermittelt werden. Hier lassen sich im Freitext auch Details zur speziellen häuslichen Mundhygiene, z. B. in Bezug auf die Interdentalraumhygiene oder die Prothesenreinigung, thematisieren.
Verkürzte PAR-Strecke
Bei Versicherten, die einem Pflegegrad nach § 15 SGB XI zugeordnet sind oder Eingliederungshilfe beziehen, kann anstelle des systematischen Vorgehens zur Parodontitistherapie die sogenannte verkürzte PAR-Strecke durchgeführt werden. Wie bei den oben bereits erwähnten speziellen Präventionsleistungen handelt es sich hier um Leistungen nach § 22a SGB V. Sofern es die Situation der Patientinnen und Patienten zulässt, sollten Anamnese, Befund und Diagnose erhoben werden; obligat ist die Messung der Sondierungstiefen an mindestens zwei Stellen pro Zahn im Approximalbereich mesial und distal. Bei Sondierungstiefen von 4 mm und höher kann eine formlose Anzeige zur verkürzten PAR-Strecke mittels Vordruck bei der Krankenkasse gemacht werden. Bei Patientinnen und Patienten, die umfangreicherer Sanierungen in Intubationsnarkose bedürfen, kann an Zähnen mit einer Sondierungstiefe von 6 mm anstelle des geschlossenen Vorgehens direkt eine chirurgische Therapie durchgeführt werden. Drei bis sechs Monate nach der Parodontitistherapie wird die unterstützende Parodontitistherapie (UPT) über die Dauer von zwei Jahren mit zwei Sitzungen pro Jahr mit einem Mindestabstand von fünf Monaten durchgeführt (25).
Schlussfolgerung
Der Erhalt eigener Zähne mit einem Zustand oraler Gesundheit kann aus heutiger Sicht für den Zeitraum von bis zu hundert Jahren als möglich angesehen werden. Welche Faktoren für erfolgreiches orales Altern im Detail verantwortlich sind, ist Bestandteil zukünftiger grundlagenwissenschaftlicher Untersuchungen. Deutlicher Handlungsbedarf besteht unter anderem darin, das Bewusstsein um die Relevanz guter Mundhygiene bei Betroffenen und Pflegenden zu schärfen. Außerdem sollte durch die Zahnärzteschaft sichergestellt sein, dass Informationen und Hilfestellungen zur häuslichen Mundhygiene bei Bedarf leicht zugänglich sind, egal ob in der Pflegeeinrichtung oder zu Hause. Dadurch können stabile und gesunde orale Verhältnisse bis ins hohe Alter gehalten werden, wenn die sensomotorischen und kognitiven Fähigkeiten der hochbetagten Menschen abnehmen und Unterstützungsbedarf/Pflege notwendig wird.
Prof. Dr. med. dent. Cornelia Frese
Universitätsklinikum Heidelberg
Klinik für Mund-, Zahn- und Kieferkrankheiten
Poliklinik für Zahnerhaltungskunde
Sektion für Präventive und Restaurative Zahnheilkunde
Im Neuenheimer Feld 400
69120 Heidelberg
E-Mail: cornelia.frese@med.uni-heidelberg.de
Literaturverzeichnis:
1.Frese C. Prävention in der Alterszahnmedizin. Quintessenz. 2021;72(12):1432-40.
2.Frese C, Sekundo C. Präventive und restaurative Strategien für den demografischen Wandel. BZB. 2019;9:52-5.
3.Sekundo C, Langowski E, Wolff D, Boutin S, Frese C. Maintaining oral health for a hundred years and more? – An analysis of microbial and salivary factors in a cohort of centenarians. J Oral Microbiol. 2022;14(1):2059891.
4.Oeppen J, Vaupel JW. Demography. Broken limits to life expectancy. Science. 2002;296(5570):1029-31.
5.Brown GC. Living too long: the current focus of medical research on increasing the quantity, rather than the quality, of life is damaging our health and harming the economy. EMBO Rep. 2015;16(2):137-41.
6.Muller F, Naharro M, Carlsson GE. What are the prevalence and incidence of tooth loss in the adult and elderly population in Europe? Clin Oral Implants Res. 2007;18 Suppl 3:2-14.
7.WHO. Recent advances in oral health. Technical Report. Series No 826 1992:16-7.
8.Sekundo C, Langowski E, Kilian S, Frese C. Oral health and functional capacity of centenarians. Sci Rep. 2020;10(1):22215.
9.Jordan AR, Micheelis, W. Fifth German oral health study. Dentists IoG, editor: Deutscher Zahnärzte Verlag DÄV; 2016. 620 p.
10.Nitschke I. KJ, Hopfenmüller W., Reiber T. Die zahnmedizinsiche funktionelle Kapazität – ein Instrument in der Gerostomatologie. Quintessenz. 2012;63(2):207-10.
11.AWMF. S2k-Leitlinie Kariesprophylaxe bei bleibenden Zähnen – grundlegende Empfehlungen. Registernummer 2016:Registernummer 083-21.
12.Jockusch J, Nitschke S, Hopfenmuller W, Schierz O, Hahnel S, Nitschke I. Impact of an oral hygiene intervention in people with and without dementia on oral health parameters-results from the oral health, bite force, and dementia (OrBiD). Pilot study. J Clin Med. 2022;11(5).
13.Urquhart O, Tampi MP, Pilcher L, Slayton RL, Araujo MWB, Fontana M, et al. Nonrestorative treatments for caries: systematic review and network meta-analysis. J Dent Res. 2019;98(1):14-26.
14.Slot DE, Vaandrager NC, Van Loveren C, Van Palenstein Helderman WH, Van der Weijden GA. The effect of chlorhexidine varnish on root caries: a systematic review. Caries Res. 2011;45(2):162-73.
15.Claydon NC. Current concepts in toothbrushing and interdental cleaning. Periodontol 2000. 2008;48:10-22.
16.Sekundo C, Langowski E, Hieronymus H, Frese C. Interdentalraumhygiene in verschiedenen Altersstufen. Prophylaxe Impuls 2020;3:118-25.
17.Pitchika V, Jordan R, Micheelis W, Welk A, Kocher T, Holtfreter B. Impact of powered toothbrush use and interdental cleaning on oral health. J Dent Res. 2021;100(5):487-95.
18.Scheibler E, Garcia MCR, Medina da Silva R, Figueiredo MA, Salum FG, Cherubini K. Use of nystatin and chlorhexidine in oral medicine: Properties, indications and pitfalls with focus on geriatric patients. Gerodontology. 2017;34(3):291-8.
19.Sharif-Abdullah SS, Chong MC, Surindar-Kaur SS, Kamaruzzaman SB, Ng KH. The effect of chlorhexidine in reducing oral colonisation in geriatric patients: a randomised controlled trial. Singapore Med J. 2016;57(5):262-6.
20.Shitrit P, Meirson M, Mendelson G, Chowers M. Intervention to reduce ventilator-associated pneumonia in individuals on long-term ventilation by introducing a customized bundle. J Am Geriatr Soc. 2015;63(10):2089-93.
21.Hendre AD, Taylor GW, Chavez EM, Hyde S. A systematic review of silver diamine fluoride: Effectiveness and application in older adults. Gerodontology. 2017;34(4):411-9.
22.Wierichs RJ, Meyer-Lueckel H. Systematic review on noninvasive treatment of root caries lesions. J Dent Res. 2015;94(2):261-71.
23.Sekundo C, Langowski E, Kilian S, Wolff D, Zenthofer A, Frese C. Association of dental and prosthetic status with oral health-related quality of life in centenarians. Int J Environ Res Public Health. 2021;18(24).
24.Sekundo C, Frese C, Alich N, Langowski E, Awounvo S, Wolff D, et al. Very old age impacts masticatory performance: a study among sexagenarians to centenarians. Clin Oral Investig. 2024;28(6):349.
25.Frese C. Parodontale Gesundheit und Therapie bei 100-Jährigen und Hochbetagten. Parodontologie. 2023;34(4):429-40.
Abb. 1: 85-jähriger Patient mit 27 eigenen natürlichen Zähnen, der das WHO-Kriterium für erfolgreiches orales Altern (mindestens 20 eigene natürliche Zähne im Alter von 80 Jahren) erfüllt. Der Patient leidet an Hypertonie, nimmt Metoprolol dagegen ein, ist allergisch auf verschiedene Desinfektionsmittel und hat Heuschnupfen. Er hat keinen Pflegegrad und ist in seiner täglichen häuslichen Mundhygiene nicht einschränkt. Er sucht seine Zahnärztin in regelmäßigen Abständen zur Routinekontrolle auf, putzt sich zweimal täglich die Zähne mit einer fluoridhaltigen Zahnpasta (1.450 ppm F-) und nutzt täglich individuell angepasste Interdentalraumbürstchen. Vermehrt berichtet er von Mundtrockenheit und trockenen Augen.
a) Ansicht von frontal in habitueller Okklusion; b) Seitenansicht rechts in habitueller Okklusion; c) Seitenansicht links in habitueller Okklusion; d) Aufsicht des Oberkiefers; e) Aufsicht des Unterkiefers; f) Zahn 16 zeigt palatinal an der Grenze zur bestehenden Kompositrestauration eine Wurzelkaries, die im Sinne einer Reparaturrestauration mit Komposit restaurativ versorgt werden kann.
Bilder: Frese, © mit freundlicher Genehmigung des UKHD
Abb. 2: Abstufung der seit 2017 gültigen Pflegegrade 1 bis 5 nach dem Schweregrad der Beeinträchtigung
Abb. 3: Große konische Interdentalraumbürste mit langen Filamenten und einem modifizierten Haltegriff aus Silikon. Wichtig bei der Instruktion der Patienten/Unterstützungsperson ist der Hinweis, dass eine konische Interdentalraumbürste von bukkal und oral verwendet wird.
Abb. 4: Vordruck gemäß § 8 der Richtlinie des Gemeinsamen Bundesausschusses nach § 22a SGB V zur Dokumentation und Übermittlung zahnärztlicher Instruktionen für Pflegebedürftige und Menschen mit Behinderung

