Ausgabe 01/18: Weiße Mundschleimhauterkrankungen und Aktuelles zur Zahnzwischenraumpflege

Autoren: Christiane Nobel, Andrea M. Schmidt-Westhausen
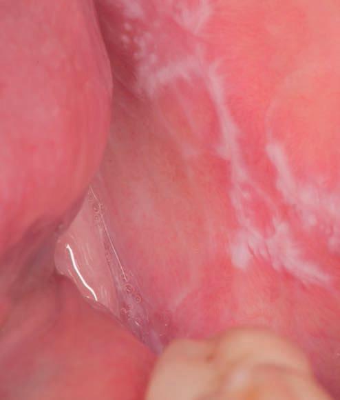
Weiße Mundschleimhauterkrankungen: harmlos – unklar – bösartig
Quintessenz für das Praxisteam
Weiße Mundschleimhautveränderungen können Vorläuferläsionen eines Plattenepithelkarzinoms sein. Bei sorgfältiger Untersuchung der Mundhöhle und richtiger Anwendung der zur Verfügung stehenden Hilfsmittel ist es auch im Praxisalltag möglich, weiße Mundschleimhautveränderungen differenzial-diagnostisch einzuordnen und eine Risikoabschätzung vorzunehmen. Dabei sollte nicht länger als zwei Wochen bis zum Verschwinden der Läsion gewartet werden. Andernfalls sollten diese suspekten Veränderungen biopsiert oder an eine Fachklinik überwiesen werden.
Zusammenfassung
Die sorgfältige und strukturierte Untersuchung der Mundhöhle ist ein essenzieller Teil der zahnärztlichen Untersuchung. Die dabei gefundenen Veränderungen müssen sorgfältig differenzialdiagnostisch evaluiert und, falls sie sich nicht innerhalb von 14 Tagen zurückbilden, einer adäquaten weiterführenden Diagnostik zugeführt werden. Diese kann in der Zahnarztpraxis oder durch Überweisung an Fachärzte oder Fachkliniken erfolgen. Bei der Anwendung der Bürstenzytologie sollte die eingeschränkte Indikation beachtet werden, da diese nur zur Kontrolle von klinisch nicht-malignitätsverdächtigen Läsionen geeignet ist. Bei suspekten Läsionen ist die Biopsie der Goldstandard, diese sollte i. d. R. in der weiterbehandelnden Klinik bzw. beim Facharzt erfolgen.
Summary
Using an algorithm while inspecting the oral cavity is an essential part of the dental examination. Lesions of the oral mucosa must be carefully evaluated on a differential diagnostic basis and, if they do not recede within 14 days, further diagnosis must be carried out, either in the dental practice or by referral to specialists/clinic. When using brush biopsy, the limited indication should be taken into account, as this is only suitable for monitoring clinically nonmalignant lesions. In the case of suspicious lesions, scalpel-biopsy is the gold standard. This should usually be performed by a specialist or clinic.

Autoren: Sonja H.M. Derman, Isabelle Stauff, Michael J. Noack
Aktuelles zur Zahnzwischenraumpflege: mechanische Hilfsmittel und antiseptische Mundspüllösungen – Übersichtsarbeit der aktuellen Evidenz
Quintessenz für das Praxisteam
Die Zahnzwischenraumpflege ist ein essentieller Teil einer effektiven Mundhygiene, deren routinemäßige und effektive Durchführung weiterhin häufig Defizite aufweist. Die Darstellung der aktuellen Evidenz bestätigt, dass Zahnseide bei engen Zahnzwischenräumen und Interdentalbürsten bei erweiterten Interdentalräumen die Mittel der Wahl bleiben. Geräte zur maschinellen Interdentalraumreinigung können bei engen Zwischenräumen mit gleicher Effektivität wie Zahnseide eingesetzt werden. Bei vorangegangenem Verlust parodontaler Stützgewebe ist die Plaquereduktion weniger effektiv, aber es wird trotzdem eine Entzündungsreduktion erzielt. Antiseptische Mund- spüllösungen können unterstützend eingesetzt werden, ersetzen aber keineswegs eine mechanische Reinigung.
Zusammenfassung
Zahnzwischenraumpflege ist ein essentieller Teil einer effektiven Mundhygiene. Diese Aussage wird in der Literatur allerdings nicht mit einer solchen Klarheit unterstützt. Die vorliegende Übersichtsarbeit zeigt die
aktuelle Evidenz zum Thema Zahnzwischenraumpflege und Unterstützung der mechanischen Mundhygiene mit antiseptischen Mundspülungen auf. Außerdem werden maschinelle Alternativen zu den klassischen Hilfsmitteln vorgestellt, die eine hohe Patientenakzeptanz aufweisen und bei Motivations- oder Fertigkeitsdefiziten eingesetzt werden können. Denn nur bei einer routinemäßigen und effektiven Anwendung werden jegliche Mundhygienemaßnahmen ihr volles präventives und kuratives Potenzial entfalten können.
Summary
Interdental cleaning is a crucial part of the oral homecare but the existing literature fails to support a convincing evidence. This narrative review summarizes the best available evidence regarding interdental cleaning and the impact of antiseptic mouthrinse. Additionally, devices as an alternative to the familiar interdental cleaning options are presented. They provide a high patient’s acceptance and may be useful in patients with deficiencies in motivation or ability to perform a proper interdental cleaning. The entire preventive and curative potential can only be reached, if every part of the oral homecare is performed effective and routinely.

